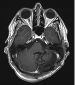
The other day, whilst in the MRI machine, I had the most fantastic idea for a piece of artwork that I wanted to create – something personal and that I could use on those ‘shitty days’ as a bit of a motivator.
Ladies and Gentlemen, I present my MRI images!
As Kostas, a very good work friend, just said “thank God you didn’t have prostate cancer!”
I have to say, I knew it was an unusual request from the start, however a huge thanks to my medical team at The Christie Hospital for providing me with these images and continuing to be awesome.
I know this is like overshare to the extreme, but at least I didn’t use one of those flaming’ ‘selfie sticks’!!!
During my time in radiotherapy, I saw worse, including a teenage girl who was taking scrapbook pictures heavily posed for on the radiotherapy machines, and many people choose to keep what I’m now terming a ‘death mask’, again from radiotherapy, after the hospital no longer has a use for it.
I’m really enjoying the newfound sense of creativity that I seem to have discovered after my cancer diagnosis, and that, when coupled with my personality, will always relate in creations from outside of the box, hopefully for many many years to come!




Hi Gari. Nice to get all the detail! I read about someone who got the software needed to view and spin the 3D images. I’m going to ask my neurosurgeon if he can give all that to me. Did you have much trouble getting your images?
All the best,
Mike
LikeLike
Hi,
It was a very unusual request and I do get on quite well with my oncology team and have a good connection with them – definitely worth getting a copy, turn something crapy in to art. Reminds me each day, that it could be a million times worse 🙂 I’d expect maybe a small charge, but at worst, if you ‘request your records’ through the Data Protection Act- they’d probably be in that.
Let me know what they say – and don’t spend a fortune on the 3D Spinny thing, ha!!!
Gari
LikeLike